Skip to main content
HairCited

Proses Penelitian

150 gambar dari penelitian yang ditinjau oleh rekan sejawat

Semua Asam Lemak Omega-3 Caffeine (Topikal) Dutasteride Finasteride Keratin Kolagen L-Cysteine Microneedling Minoxidil Minyak Rosemary MSM Selenium Seng Spironolactone Terapi Laser Tingkat Rendah Terapi PRP Vitamin B12 Vitamin D Zat Besi
All Types Chart Diagram Photograph Flowchart Forest Plot Micrograph Other
Fig 5. The structure of human SRD5A2. (A), Spheres represent NADP-DHF adduct. L1-6 are the 6 loops connecting the 7 transmembranes (TM), and the TM portion has 254 amino acid residues. (B), The active site inside the 7 TM channels surrounded by L1, L3, an
Figure 5 Diagram

The three-dimensional structure of human SRD5A2 is shown with its seven transmembrane domains, active site, and NADP-DHF adduct positioning within the enzyme channel.

Androgenetic alopecia: An update.

Figure 4
Figure 4 Diagram

Experimental findings on adverse effects of 5-alpha-reductase inhibitors in animal models are summarized, providing mechanistic insights into how these drugs may affect the central and peripheral nervous systems.

Post-finasteride syndrome: An emerging clinical problem.

Figure 5
Figure 5 Diagram

Proposed pathophysiological mechanisms underlying the persistent side effects of finasteride are outlined, connecting hormonal disruption to epigenetic changes and altered gut microbiota composition.

Post-finasteride syndrome: An emerging clinical problem.

Fig. 3. Side effects of treatment with 5 alpha-reductase inhibitors in experimental models. For details, see text.
Figure 6 Diagram

Side effects of treatment with 5-alpha-reductase inhibitors observed in experimental models are comprehensively catalogued, covering reproductive, neurological, and metabolic endpoints.

Post-finasteride syndrome: An emerging clinical problem.

Figure 5
Figure 5 Diagram

A proposed treatment algorithm for female pattern hair loss incorporates finasteride as a potential alternative when topical minoxidil fails, including appropriate patient selection criteria and monitoring requirements.

Finasteride and Its Potential for the Treatment of Female Pattern Hair Loss: …

Figure 5
Figure 5 Forest Plot

Forest plot from the meta-analysis comparing dutasteride versus finasteride for hair count improvement in men with androgenetic alopecia over a 24-week treatment period.

The efficacy and safety of dutasteride compared with finasteride in treating men …

Figure 5
Figure 5 Chart

Calcium imaging or electrophysiological recordings from cultured DRG neurons demonstrating CBD's dose-dependent effects on TRPV1-mediated capsaicin responses and downstream signaling pathways.

CBD Effects on TRPV1 Signaling Pathways in Cultured DRG Neurons.

Figure 6
Figure 6 Chart

Calcium imaging or electrophysiological recordings from cultured DRG neurons demonstrating CBD's dose-dependent effects on TRPV1-mediated capsaicin responses and downstream signaling pathways.

CBD Effects on TRPV1 Signaling Pathways in Cultured DRG Neurons.

Figure 3 Reversal of CBD-mediated TRPV1 desensitization in DRG neurons. Capsaicin responses without any added drugs (A, bar 1), were similar to responses in the presence of 20 µMol/L forskolin (FSK) (A, bar 2). Capsaicin responses were significantly reduc
Figure 7 Chart

CBD-mediated TRPV1 desensitization was reversed by forskolin (cAMP pathway activator) and cyclosporin (calcineurin inhibitor), indicating that cannabidiol's analgesic mechanism involves phosphatase-dependent receptor desensitization in DRG neurons.

CBD Effects on TRPV1 Signaling Pathways in Cultured DRG Neurons.

Figure 4 Forskolin-stimulated cAMP is inhibited by CBD. cAMP levels in the presence of vehicle (bar 1), were significantly increased by 1 µMol/L FSK (**P=0.0079, n=5), but similar to those in the presence of 1 µMol/L CBD (bar 3, n.s). Forskolin-stimulated
Figure 8 Chart

Forskolin-stimulated cAMP levels were significantly inhibited by CBD co-treatment in DRG neurons, suggesting cannabidiol modulates the cAMP-PKA signaling axis downstream of TRPV1 activation.

CBD Effects on TRPV1 Signaling Pathways in Cultured DRG Neurons.

Fig. 1 PRISMA flowchart. A PRISMA flowchart detailing the process of eligibility for all records reviewed for the literature review, as well as the number of studies identified, screened, excluded, and included
Figure 1 Flowchart

PRISMA flowchart detailing the systematic literature search and screening process for studies on microneedling in hair loss disorders. The diagram tracks records from initial identification through screening, eligibility assessment, and final inclusion.

Microneedling and Its Use in Hair Loss Disorders: A Systematic Review.

Figure 1. CBD chemical structure (source: PUBCHEM [9]). CBD: cannabidiol.
Figure 2 Diagram

Chemical structure of cannabidiol (CBD), the non-psychoactive cannabinoid derived from Cannabis sativa, illustrating its molecular formula and structural features.

The Impact of Cannabidiol on Psychiatric and Medical Conditions.

Figure 2. Chemical structure of THC for comparison (source: PUBCHEM [9]). THC: tetrahydrocannabinol.
Figure 3 Diagram

Chemical structure of tetrahydrocannabinol (THC) presented for comparison with CBD, highlighting the structural differences between the psychoactive and non-psychoactive cannabinoids.

The Impact of Cannabidiol on Psychiatric and Medical Conditions.

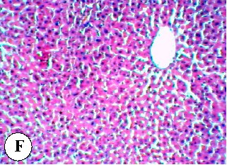
Figure 4
Figure 4 Micrograph

Histopathological examination of liver tissue from control rats, showing normal hepatic architecture for baseline comparison with diazinon-treated groups.

Protective effect of some plant oils on diazinon induced hepatorenal toxicity in …

Figure 5
Figure 5 Micrograph

Liver histopathology in diazinon-treated rats showing hepatocellular damage, inflammatory infiltration, and structural changes indicative of pesticide-induced hepatotoxicity.

Protective effect of some plant oils on diazinon induced hepatorenal toxicity in …

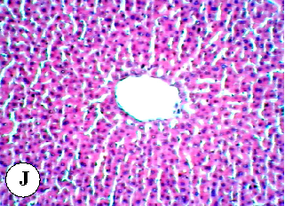
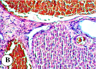
Figure 6
Figure 6 Micrograph

Liver tissue sections from rats co-treated with diazinon and a plant oil, showing varying degrees of protection against pesticide-induced hepatic damage.

Protective effect of some plant oils on diazinon induced hepatorenal toxicity in …

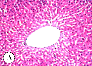
Figure 7
Figure 7 Micrograph

Additional liver histopathology from a different plant oil treatment group, demonstrating the comparative hepatoprotective effects of various plant oils against diazinon toxicity.

Protective effect of some plant oils on diazinon induced hepatorenal toxicity in …

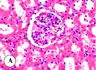
Figure 8
Figure 8 Micrograph

Kidney histopathology from control rats showing normal renal architecture, providing a baseline for comparison with diazinon-exposed groups.

Protective effect of some plant oils on diazinon induced hepatorenal toxicity in …

Figure 9
Figure 9 Micrograph

Renal tissue sections from diazinon-treated rats revealing tubular damage and glomerular changes indicative of nephrotoxicity.

Protective effect of some plant oils on diazinon induced hepatorenal toxicity in …

Figure 10
Figure 10 Micrograph

Kidney histopathology from rats receiving plant oil co-treatment with diazinon, assessing the degree of renal protection afforded by the oil supplement.

Protective effect of some plant oils on diazinon induced hepatorenal toxicity in …

Figure 11
Figure 11 Micrograph

Additional renal tissue examination from a plant oil treatment group, comparing nephroprotective efficacy across different oil types in diazinon-exposed rats.

Protective effect of some plant oils on diazinon induced hepatorenal toxicity in …

Figure 12
Figure 12 Chart

Antioxidant enzyme activity measurements (SOD, catalase, or GPx) in liver or kidney tissue across all experimental groups in the diazinon-plant oil study.

Protective effect of some plant oils on diazinon induced hepatorenal toxicity in …

Figure 13
Figure 13 Chart

Lipid peroxidation or oxidative damage marker levels in renal tissue of rats treated with diazinon and plant oils.

Protective effect of some plant oils on diazinon induced hepatorenal toxicity in …

Figure 14
Figure 14 Chart

Body weight changes or organ weight ratios in rats across the different diazinon and plant oil treatment groups over the study period.

Protective effect of some plant oils on diazinon induced hepatorenal toxicity in …

Halaman 3 dari 7