Skip to main content
HairCited

Axit Béo Omega-3 Hình ảnh

30 hình ảnh từ nghiên cứu có bình duyệt

Tất cả Axit Béo Omega-3 Caffeine (Bôi ngoài da) Collagen Dầu Hương Thảo Dutasteride Finasteride Kẽm Keratin L-Cysteine Liệu Pháp Laser Cường Độ Thấp Liệu Pháp PRP Minoxidil MSM Sắt Selenium Spironolactone Vi Kim Vitamin B12 Vitamin D
All Types Chart Diagram Photograph Flowchart Forest Plot Micrograph Other
Figure 21
Figure 21 Chart

Summary comparison of nephroprotective efficacy across the different plant oils evaluated against diazinon-induced renal damage.

Protective effect of some plant oils on diazinon induced hepatorenal toxicity in …

Figure 22
Figure 22 Chart

Supplementary biochemical or histological data from the plant oil-diazinon study, providing additional evidence for the protective mechanisms.

Protective effect of some plant oils on diazinon induced hepatorenal toxicity in …

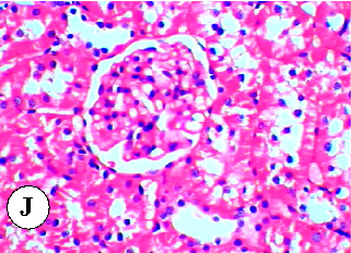
Figure 23
Figure 23 Chart

Final summary data from the hepatorenal toxicity study, consolidating the evidence for plant oil protection against diazinon-induced organ damage in rats.

Protective effect of some plant oils on diazinon induced hepatorenal toxicity in …

Figure 1
Figure 1

Sleep-promoting activity of amylase-treated Ashwagandha (Withania somnifera L. Dunal) root extract via …

Figure 4
Figure 4

Sleep-promoting activity of amylase-treated Ashwagandha (Withania somnifera L. Dunal) root extract via …

Figure 5
Figure 5

Sleep-promoting activity of amylase-treated Ashwagandha (Withania somnifera L. Dunal) root extract via …

Trang 2 / 2